Атипичная пневмония
Когда воспаление легких не проходит после антибиотиков
Одиннадцатилетняя девочка лихорадила уже неделю. Кроме температуры ее мучил мучительный кашель и слабость. А начиналось все постепенно — сначала заболело горло, потом немного забеспокоили уши, а спустя несколько дней началась лихорадка.
Участковый педиатр действовал решительно: уже был получен клинический анализ крови, который показал повышение СОЭ до 30, в остальном патологии не было. Также доктор успел сделать девочке рентгенограмму грудной клетки, — следовало исключить воспаление легких. Впрочем, описание рентгена гласило, что в легких не наблюдалось очаговых и инфильтративных изменений.
Таким образом, пневмония не подтвердилась. Но, несмотря на нормальную рентгенограмму, участковый назначил антибиотики: сначала амоксициллин — без эффекта, потом, ввиду того, что температура сохранялась, — цификсим. Однако эффекта все равно не было. На момент моего осмотра температура шкалила уже восьмые сутки, кашель был неукротим и мучителен.
«Так что чем мы болеем — совершенно непонятно», — резюмировала мама девочки. Тем не менее я на 90 % подозревал, в чем, собственно, дело.
Микоплазменная респираторная инфекция
Как ни странно, средства массовой информации иногда помогают заподозрить диагноз. Когда по всем каналам трубят, что настала эпидемия гриппа — глупо не учитывать эти данные. И сейчас благодаря СМИ я точно знал, что гриппа в городе еще нет, зато интернет-издания переполнены информацией о вспышках микоплазменной пневмонии в различных регионах России, включая наш северо-запад, а также в пограничных странах, например в Финляндии.
Типичная, классическая, пневмония чаще всего вызывается пневмококком, гемофильной инфекцией типа В. Характеризуется острым началом, часто после переохлаждения, высокой лихорадкой, интоксикацией, очень плохим самочувствием, тяжелым течением. Клинический анализ крови обычно с явными признаками воспаления, на рентгене хорошо определяется интенсивная инфильтрация. При такой пневмонии хорошо работают обычные антибиотики пенициллинового ряда, цефалоспорины и многие другие.
При атипичной пневмонии часто наблюдается стертое длительное течение. Она развивается постепенно, температура иногда вовсе отсутствует. На рентгенограмме бывает неочевидная картина.
Атипичное воспаление легких вызывается микоплазмами, хламидиями и легионеллой, которые являются внутриклеточными возбудителями, оно лечится не всеми видами антибиотиков. Наиболее эффективно на эти микробы действуют макролиды, тетрациклины и фторхинолоны.
Когда ты говоришь, что респираторная инфекция, возможно, вызвана микоплазмой, родители зачастую напрягаются и пугаются. Приходится объяснять, что микоплазмы бывают разные — и здесь речь идет не о половой микоплазме, а о респираторной, которая передается обычным воздушно-капельным путем.
Особенности лечения
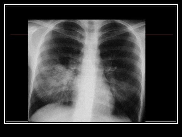
Но вернемся к нашей пациентке. Для меня было очевидно, что пневмония, даже не видимая на рентгене, должна быть. Надо было попытаться это подтвердить. Обычно я заставляю пациентов изрядно потрудится. Им приходится долго и глубоко дышать, пока я не прослушаю все отделы легких.
Примерно через пять минут аускультации мои старания увенчались успехом — в самом низу правого легкого, около позвоночника, я обнаружил четкий участок мелкопузырчатых и скрипучих сухих хрипов, не исчезающих после кашля, — классический симптом пневмонии. Воспаление в этом месте вполне можно было не разглядеть на рентгенограмме.
Атипичная пневмония
В большинстве случаев воспаление легких провоцируется бактериальной флорой. При этом диагностических сложностей не возникает, а лечение осуществляется при помощи стандартных антибиотиков. Если имеет место атипичная пневмония, картина несколько иная.
В данном случае возможны разные сценарии: или агрессивное молниеносное развитие болезни, или смазанная клиническая картина. При отсутствии специфического лечения высок риск тяжелых последствий, плоть до смертельного исхода.
Причины атипичной пневмонии
Обычно инфекционные агенты передаются воздушно-капельным путем между членами закрытых коллективов. Из-за этого высока частота эпидемий в садиках и школах.
Вызывают нетипичную пневмонию бактерии, грибки, вирусы, а также простейшие. Наиболее распространенными являются следующие возбудители:
- легионелла;
- коксиелла;
- микоплазма;
- возбудитель туляремии;
- возбудитель лептоспироза;
- коронавирусы;
- хантавирусы.
Сложности лабораторной диагностики обусловлены размножением перечисленных инфекционных агентов в клетке. Все они имеют определенные патогенетические и микробиологические особенности. В то же время все они характеризуются устойчивостью к сульфаниламидам и β-лактамным антибиотикам.
Признаки атипичной пневмонии
Обычно легочные проявления сглажены, в клинической картине преобладает симптоматика интоксикации. У взрослых и у детей атипичная пневмония симптомы обычно дает следующие:
- малое количество мокроты;
- сильные головные боли;
- болевые ощущения в мышцах;
- высокая температура;
- слабость.
Врач должен обратить внимание на такие характеристики состояния больного, как невыраженный лейкозитоз, невыраженные проявления на рентгенограмме, несоответствие проявлений интоксикации рентгенологическим и физикальным данным. Также если имеет место атипичная пневмония, симптомы у взрослых и детей не уходят при приеме бета-лактамных антибиотиков и сульфаниламидов.
Во многих случаях клиническая симптоматика приходит позже, чем проявляются изменения на рентгенограмме. При выраженных иммунодефицитах возникает необходимость в диагностике совсем небольших очагов при помощи метода компьютерной томографии.
Микоплазменная пневмония
Микоплазма часто вызывает эпидемии в различных закрытых коллективах. Микоплазменная атипичная пневмония у детей изначально дает симптомы, характерные для вирусной инфекции. В их числе – озноб, насморк, першение в горле. Температура держится на субфебрильном уровне. Позже присоединяются такие явления, как одышка и непродуктивный кашель, сохраняющийся до 2-3 недель.
В трети случаев воспалительный процесс является двусторонним. Однако течение болезни обычно остается благоприятным и заканчивается излечением. В тяжелых случаях поражаются почки, печень, миокард, суставы.
Основа диагностики – инструментальные и лабораторные методы исследования. Рентген показывает слабые либо среднеинтенсивные участки инфильтрации в виде размытых теней, усиление бронхиального и сосудистого рисунка.
Лечение атипичной пневмонии, вызванной микоплазмами, проводится при помощи специфических препаратов и симптоматических средств. При своевременно начатой терапии состояние больного довольно быстро улучшается.
Лечение заболевания
При подтверждении диагноза нетипичного воспаления легких, многие специалисты сталкиваются с вопросом: чем лечить атипичную пневмонию? Это обусловлено отсутствием препаратов против отдельных атипичных микроорганизмов.
Специалисты выбирают препараты, в зависимости от типа пневмонии:
- Противовирусные. В основе лечения заболевания, вызванного некоторыми вирусами, лежит назначение Рибавирина, после чего подключается терапия кортикостероидами.
- Противомикробные (антибиотики тетрациклинового, макролидного, фторхинолонового и цефалоспоринового ряда).
Симптоматическая терапия подразумевает:
- Жаропонижающие препараты;
- Терапия отхаркивающими препаратами;
- Для расширения бронхов – использование бронходилятаторов;
- При тяжелом течении болезни (гипоксия, бактериотоксический шок) могут применяться глюкокортикостероиды.
Основное лечение атипичной пневмонии направлено на уничтожение вируса, вызвавшего заболевание.
- Лечение хламидийной пневмонии подразумевает применение антибиотиков тетрациклинового и макролидного ряда. Продолжительность приема препаратов 10-14 дней. Если по истечении этого периода у больного не происходит улучшения состояния, назначают терапию фторхинолонами (к примеру, Спарфлоксацином).
- При лечении микоплазменной пневмонии применяют макролидные антибиотики, такие как Азитромицин, параллельно, в случае необходимости проводят симптоматическую терапию.
- Легионеллезная атипичная пневмония, как правило, лечится Рифампицином, Ципрофлоксацином . При нормальном течении заболевания положительная динамика отмечается на 5 сутки. В качестве препаратов, разжижающих мокроту и обладающих отхаркивающим действием, применяются: АЦЦ, лазолван, флуимуцил, бромгексин.
- При пневмонии, вызванной коронавирусами, применяется комплексное лечение, включающее несколько антибиотиков тетрациклинового, фторхинолонового и цефалоспоринового ряда.
Обязательными методами лечения нетипичного воспаления легких также являются:
- Внутривенное введение лекарственных препаратов, купирующих интоксикацию;
- Кислородотерапия;
- С целью профилактики, во избежание отека легких назначают диуретические препараты.
Дополнить медикаментозное лечение может применение проверенных народных средств. В лечении данного заболевания рекомендуется использовать настои плодов шиповника, бузины, ягод малины, цветов липы, листьев мать-и-мачехи, а также продукты пчеловодства.
Коронавирусная инфекция
Коронавирусной инфекцией называется ОРВИ, характеризующаяся клиникой ринита, а также доброкачественным течением. Под атипичной пневмонией (ТОРС) следует понимать тяжело протекающую коронавирусную инфекцию. Для нее характерны циклическое течение, сильная интоксикация, преимущественное поражение альвеолярного эпителия и острая дыхательная недостаточность.
ТОРС, то есть тяжелый острый респираторный синдром, провоцируется коронавирусом, передающимся, возможно, воздушно-капельным путем. Длительность инкубационного периода – от двух до десяти дней. Гриппоподобные симптомы иногда вызывают тяжелую респираторную недостаточность. Для профилактики распространения инфекции больных необходимо изолировать. Уровень смертности достигает 10%.
Характеристика коронавируса
Данный возбудитель представляет собой крупный РНК-содержащий вирус сферической формы. Его диаметр достигает 80-160 нм. Визуально он легко распознается при электронной микроскопии за счет булавовидных отростков, придающих ему сходство с солнечной короной во время затмения. Именно этим и объясняется название данного возбудителя.
Коронавирусы подразделяются на антигенные группы. К первой группе относятся человеческий коронавирус 229 Е и вирусы, которые поражают кроликов, кошек, свиней и собак.
Во вторую группу входят человеческий вирус ОС-43 и вирусы, опасные для индюков, свиней, крыс, мышей и крупного рогатого скота. Третья группа – это кишечные коронавирусы человека, а также вирусы индюков и кур. Возбудителем ТОРС является ранее неизвестная разновидность коронавируса.
Патогенез
Коронавирус атакует эпителий верхних дыхательных путей. В основном он поражает клетки альвеолярного эпителия.
Спровоцированные вирусом повреждения создают благоприятные условия для грибковой и бактериальной флоры. Результатом становится вирусно-бактериальная пневмония. У некоторых пациентов после выписки состояние ухудшается из-за стремительного развития фиброзных изменений в тканях легких.
Есть вероятность, что коронавирус поражает лимфоциты и микрофаги. При этом блокируются все звенья иммунного ответа. Причиной возникающей при ТОРС лимфопении может быть и миграция лимфоцитов в пораженный очаг из кровяного русла.
Виды атипичного воспаления легких
Все нетипичные формы воспаления, вызванные вредными микроорганизмами, требуют особого подхода, диагностики и специфического лечения.
- Хламидийная атипичная пневмония провоцируется хламидиями, которые могут долго находиться в конъюнктиве глаза, бронхах и не проявляться. Этот недуг напоминает поначалу фарингит или ринит, а затем добавляется симптоматика пневмонии: болезненные ощущения в мышцах, суставах, высокая температура, увеличиваются лимфоузлы на шее, появляется сухой кашель, ломота, одышка. Течение такой формы болезни длительно и может привести к аллергическим реакциям с дальнейшим развитием бронхита или к астме. Такое заболевание встречается нечасто — до 10% от общего количества легочных воспалений. Чтобы не было рецидивов, нужно проводить антибиотикотерапию в течение 2 недель.
- Микоплазменная атипичная пневмония протекает достаточно незаметно и вяло, но как эпидемия, охватывает большое количество больных, например. школьников. Сначала появляются кашель без выделения мокроты, першение в горле, а также насморк, а вот на следующий день уже температура тела больного достигает 38 градусов. Кашель длится долго. Приступы кашля появляются резко. Не исключено также более сложное протекание заболевания с мышечными болями, очень высокой температурой тела. В результате поражаются суставы, миокард, почки и печень. Во избежание такой формы необходимо вовремя сдать анализы для своевременной диагностики и попить специфические препараты.
- Легионеллезная пневмония распространяется чаще всего на легкие людей старшего поколения и тех, кто работает в офисах в жару, поскольку легионеллы частенько находятся в кондиционерном воздухе. За день проявляются уже все симптомы: тело больного разогревается до 40 градусов, его знобит, душит сухой кашель, отходит мокрота с гноем и кровью, мучает диарея и рвота, продолжают болеть мышцы. Назначить необходимые препараты помогает микробиологическая диагностика, рентген. Болезнь может длится до месяца, лихорадка же длится всего 12 дней.
- Вирусное атипичное воспаление, которое распространяется коронавирусом, приносит пациенту боль головную и мышечную, его знобит, также мучает диарея, рвота, тело нагревается до 38 градусов. Передается не только воздушно-капельным путем, но и фекально- оральным. Через пару дней начинает мучить непродуктивный кашель, снижается давление, учащается пульс. Если проблема не решается, применяют искусственную вентиляцию легких, а вот при развитии токсического шока и острой дыхательной недостаточности возможен летальный исход.
Это далеко не все, а лишь самые распространенные виды атипичной пневмонии.
Атипичная пневмония — лечение
В отдельную категорию относят болезни, которые провоцируют воспалительные процессы в легких, однако главными причинами являются необычные бактерии, вирусы и микроорганизмы. Такую пневмонию называют атипичной, у которой есть свои специфические симптомы. Если не приступить к своевременному лечению, тогда возможен летальный исход.
Сайт bronhi.com акцентирует внимание на том, что заболевание локализуется в легких, как и обычная пневмония. Поначалу она может быть похожа на обычный грипп по своим симптомам:
- Сонливость.
- Першение в горле.
- Повышение температуры до 39-40 градусов.
- Головная боль.
- Усталость.
- Кашель.
- Одышка.
- Потливость.
- Затрудненное дыхание.
Однако со временем проявляются типичные симптомы пневмонии атипичного характера: сердечная недостаточность, боль в груди, лихорадка. Лишь на начальных этапах можно говорить о быстром и легком выздоровлении. Но поскольку болезнь прячется за симптомами, которые можно спутать с появлением гриппа, то многие люди теряют данный шанс. Лучше при любых респираторных симптомах обращаться к врачу, чтобы он провел исследования лабораторного характера, которые и позволят выяснить, какое заболевание развивается.
Врач назначит проведение трех анализов:
- Культуральное исследование, когда бактерии помещаются в питательные среды и выращиваются, чтобы выявить их тип. Здесь берется мазок из ротовой полости и мокрота.
- Иммунологический метод позволяет выявить антитела и антигены в крови человека.
- Молекулярно-биологическое исследование позволяет выявить нуклеотидные последовательности.
Особенности болезни
Атипичная пневмония – это инфекционно- воспалительное заболевание, которое передаётся воздушно-капельным и бытовым путём. Возбудитель такой инфекции сохраняет свою активность вне носителя до 6 часов. Латентный период может быть до 10 дней, но чаще всего этот отрезок составляет всего 3-4 дня. После этого у человека появляются первые симптомы патологии.
Атипичная пневмония всегда сопровождается повышенной температурой, сильной лихорадкой, головной и суставной болью. Всего через несколько суток возникает частый, непродуктивный кашель, который сильно нарушает состояние больного. Дыхание человека при этом учащённое и затрудненное. В редких случаях болезнь сопровождается першением в горле, тошнотой и рвотой. Уже через несколько дней вся симптоматика ослабевает, но потом проявляется с большей силой. Больной жалуется на сильное сердцебиение, боль в груди и стойкое ощущение нехватки воздуха.
Симптомы атипичной пневмонии у взрослых и детей малоспецифичны. Диагноз в основном подтверждается при исследовании биологического материала пациента, который направляется на исследование сразу же, как только врачу становится понятно, что классический протокол лечения эффекта не даёт. Во многих случаях на рентгенологическом снимке просматривается воспалительный процесс в лёгких, но стандартная терапия никакого эффекта не даёт.
Заподозрить заражение вирусом атипичной пневмонии можно на основании таких данных:
- Полное отсутствие какого-либо эффекта от лечения сульфаниламидами и бета-лактамными антибактериальными препаратами.
- Полное отсутствие или же слабые проявления лейкоцитоза.
- Отсутствие симптомов консолидации лёгкого, что говорит о небольшой распространённости воспалительного процесса.
- Есть некоторые симптомы, которые характерны для определённого типа возбудителя.
Следует учитывать, что при таком типе воспаления лёгких мокроты мало и она отделяется очень плохо.
Опасность атипичной пневмонии состоит в том, что против определённых возбудителей до сих пор не нашли эффективных лекарственных средств.
Виды и причины возникновения атипичной пневмонии
Атипичную пневмонию не лечат обычными антибиотиками, поскольку характер ее возникновения не позволяет справиться с возбудителями. Главными ее провокаторами являются коксиелла, микоплазма, легионелла и хламидии. Соответственно, видами атипичной пневмонии являются:
- Микоплазменная.
- Хламидийная.
- Легионеллезная.
- Вирусная.
Человек заражается данными вирусами от больного индивида, а симптомы начинают проявляться спустя 3-10 дней после поражения. Способ передачи достаточно легкий и распространенный – воздушно-капельный. Чаще всего атипичной пневмонией болеют дети и подростки с ослабленным иммунитетом в период эпидемий.
Не следует исключать и других провокаторов атипичной пневмонии: клебсиеллы и сальмонеллы, а также иные вирусы. Необходимо прохождение обследования, чтобы выявить вид вируса, с которым нужно врачам бороться, чтобы вылечить пациента. При этом следует знать о том, что вирусы постоянно мутируют, поэтому даже врачи не могут дать однозначного ответа, вылечена атипичная пневмония или нет. Порой ее симптомы бывают смазанными, а иногда и длительное время не проявляться. Все это выясняется путем лабораторных анализов, даже не внешнего врачебного осмотра.
Лечение
Запомните, лечение атипичной пневмонии должно назначаться исключительно врачом. Недопустимость самолечения прежде всего обусловлена тем, что лекарственные средства при таких формах воспаления легких подбираются, исходя из конкретного возбудителя, определить которого самостоятельно в домашних условиях невозможно.
Чаще всего лечение атипичной пневмонии осуществляется с использованием антибиотических препаратов. Исключение составляет вирусная форма заболевания. Это связано с тем, что на вирусы антибиотики не действуют.
Также следует помнить, что универсального антибиотического средства, которое действует на любого возбудителя атипичной пневмонии, не существует.
В настоящее время для лечения таких воспалений легких врачи прописывают антибиотики, входящие в группы:
- тетрациклинов (Доксициклин, Тетрациклин);
- макролидов (Кларитромицин, Эритромицин);
- фторхинолонов (Левофлоксацин).
Продолжительность и схема приема лекарственных средств также может быть определена только лечащим врачом. Дополнительно читайте публикацию «Диета при пневмонии».
Микоплазменная пневмония – симптомы
Микоплазменная пневмония становится распространенной среди лиц, которые находятся в тесном контакте с окружающими. Это дети в детских садах и школах, военнослужащие, рабочие и пр. Передается вирус воздушно-капельным путем, инкубационный период составляет 21 день. Поражение происходит преимущественно лиц от 6 до 40 лет.
Особенностью данного вируса является отсутствие клеточной структуры. За счет этого микоплазма легко поражает гладкую и ровную поверхность слизистой, которой окутано все легкое.
Обычно микоплазменная пневмония атипичного характера появляется на фоне других респираторных заболеваний, например, трахеит или бронхит. Сначала симптомы достаточно неотличимые: кашель, слабость, суставные и головные боли, насморк. Кашель с каждым днем усиливается. Мягкое небо, язычок и задняя стенка глотки красного цвета. На основе микоплазменной пневмонии могут развиться ринит и фарингит.
После попадания микоплазмы в кровь через неделю начинают проявляться симптомы:
- Повышение температуры, которая не спадает более недели.
- Кашель с выделением незначительной вязкой слизи.
- Боли в груди, усиливающиеся во время вдоха.
- Мелкопузырчатые хрипы во время дыхания.
Врач может распознать микоплазменную пневмонию на рентгеновском снимке. Лечение проводится медикаментозное, преимущественно макролидами и тетрациклинами.
Причины заболевания
Известно несколько видов инфекций, которые дают толчок к развитию заболевания. Возбудители характеризуются различными эпидемиологическими и микробиологическими показателями, но все они обладают устойчивостью к медикаментозным препаратам. Возбудитель может жить на предметах и в воздухе примерно 6 часов. Человек заражается вирусом при продолжительном контакте с людьми, заражение происходит воздушно-капельным путем.
Подверженность заболеванию высока у людей разного возраста, больше всего болеющих моложе 40 лет. Период инкубации (время от момента попадания вируса до первых проявлений симптомов) происходит от трех до десяти дней. Различают несколько форм недуга:
| Разновидность атипичной пневмонии | Возбудитель |
| Микоплазменная | Мycoplasma pneumoniae, вид бактерий рода Mycoplasma |
| Хламидийная | Микроорганизмы рода Chlamydophila |
| Легионеллезная | Бактерия Legionella pneumophila |
| Тяжелый острый респираторный синдром | ТОРС (SARS) – коронавирус семейства Coronaviridae |
На заметку! Заболевание часто появляется вместе с развивающимся в организме недугом (чаще всего это простуда), но может функционировать отдельно.
Признаки атипичной пневмонии
Атипичная микоплазменная пневмония
Истечение периода инкубации характеризуется недолгим продромальным периодом. Имеется в виду время между инкубационным периодом и недугом. Его симптомы нередко позволяют идентифицировать заболевание. На протяжении продромального периода пациент жалуется на сухость и першение, кашель без мокроты, мигрень и сильную усталость. Один из симптомов заболевания – температура тела, которая не поднимается выше 38 градусов, что свидетельствует о вялотекущем воспалительном процессе. Начинается приступообразный кашель, который не проходит около двух-трех недель. Иногда воспаление легких диагностируется с двух сторон.
Атипичная микоплазменная пневмония
Самые сложные случаи микоплазменной разновидности характеризуются лихорадкой, интоксикацией (отравлением организма ядовитыми веществами), носовым кровотечением, высыпаниями на коже. Появляется боль в суставах и неприятные ощущения в области мышц. Может появиться шейный лимфаденит (воспаление лимфатических узлов). Но в отличии от других форм болезни, микроплазменная разновидность проходит вяло и медленно.
Атипичная микоплазменная пневмония на снимке
Если не лечить болезнь, могут возникнуть следующие осложнения: бронхит, бронхиолит, различные бронхоэктазы (увеличение области бронха из-за повреждения бронхиальной стенки) и пневмосклероз (замещение соединительной легочной ткани впоследствии воспалительного процесса).
На заметку! Заболевание обычно диагностируется на осмотре врача. При подозрениях назначаются различные исследования, которые включают анализы крови и рентген.
Симптомы микоплазменной пневмонии
Атипичная хламидийная пневмония
Каждый вирус развивается в клетках определенного вида. Тропность вируса определяется наличием на клетках рецепторов, которые обуславливают комфортное попадание вируса в клетку. Микроорганизмы, вызывающие болезнь, обладают тропностью к клеткам различных систем организма человека. Это вызывает различные воспалительные болезни, что ведет за собой развитие хламидийной пневмонии.
Атипичная хламидийная пневмония
Этим видом чаще болеют дети, а также пожилые люди. Вирус может существовать в организме и не проявлять себя. Болезнь, которая возникает из-за хламидийной инфекции, на первых этапах сложно отличить от обычной острой респираторной вирусной инфекции (ОРВИ) с признаками других воспалительных заболеваний.
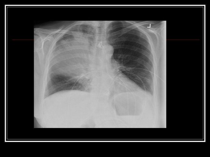
Атипичная хламидийная пневмония на рентгеновском снимке
После симптомов ОРВИ начинается стабильное увеличение температуры (вплоть до 39 градусов), невыносимая боль в мышцах и суставах, появляется одышка и кашель (иногда с маленьким количеством мокроты). У некоторых больных развивается шейная лимфаденопатия. Процесс поражения также двусторонний. Хламидийная пневмония – болезнь нетяжелая, но требующая длительного лечения.
Симптомы хламидийной пневмонии
На заметку! При появлении первых признаков болезни следует обратиться к врачу – только квалифицированный специалист может диагностировать болезнь и назначить единственно верное лечение.
Атипичная легионеллезная пневмония
Характеризуется поражением органов дыхательной системы организма. Вирус этой разновидности обитает в следующих предметах: распылителях воды, кондиционерах, увлажнителях воздуха. Поступление бактерии в организм осуществляется аэрозольным путем. Болезнь чаще всего развивается летом, характеризуется единичными случаями либо вспышками.
Атипичная легионеллезная пневмония
Встретить заболевание можно чаще у взрослых и пациентов пожилого возраста. Часто появляется у курящих, людей с хронической почечной недостаточностью и иммуносупрессией (подавление иммунитета). Этот вид пневмонии характеризуется также отеком в области поражения. Протекает тяжело, требует обязательного нахождения в стационаре.
Атипичная легионеллезная пневмония на рентгеновском снимке
Симптомы – подъем температуры до 39 градусов. Пациент чувствует сильный озноб и постоянную боль в области головы. Возникает кашель, сначала сухой, потом с мокротой (вплоть до гноя). Иногда появляется кровохарканье. Все это протекает с одышкой, неприятными ощущениями в мышцах, тошнотой и рвотой. Нередко развивается диарея. Если не заниматься лечением, формируется дыхательная или почечная недостаточность, что в итоге может закончиться смертью больного.
На заметку! Факторами риска для появления болезни могут являться различные хронические заболевания, злокачественные новообразования, патологии органов, сахарный диабет и другие недуги.
Симптомы атипичной легионеллезной пневмонии
Тяжелый острый респираторный синдром
Малоизвестная форма болезни, которая поражает нижние дыхательные пути. Вирусу подвержены пациенты от 20 до 70 лет, отмечают также единичные случаи заражения детей до 16 лет. Передается воздушно-капельным и фекально-оральным путем. Отсутствие эффективных систем диагностики синдрома и сложность идентификации болезни в начальном периоде требует ставить предварительный диагноз людям, имеющим ярко выраженные симптомы заболевания.
Инкубационный период – от 2 до 7, иногда – до 11 дней. Болезнь начинает проявляться повышением температуры (выше 38 градусов). Симптомы: лихорадка, озноб, потливость, болевые ощущения в мышцах и мигрень. Иногда появляется рвота, развивается диарея. Примерно на 3-7 день начинается сухой кашель и одышка, прогрессирует гипоксемия (снижение уровня кислорода в крови). Появляется учащенное сердцебиение, глухость сердечных тонов.
На 6-7 сутки самочувствие некоторых пациентов улучшается, симптомы начинают стихать. У остальных развивается респираторный дистресс-синдром, который требует перехода к искусственной вентиляции легких. При этом существует возможность летального исхода из-за осложнений, острой сердечной либо дыхательной недостаточности.
На заметку! Основной препарат при лечении атипичной пневмонии – антибиотики. Его подбирают в зависимости от микроорганизма, который вызвал заболевание. Иногда антибиотики назначают в таблетках, при более тяжелых формах пациенту ставят уколы и капельницу.
Видео — Виды и симптомы пневмонии
Легионеллезная пневмония – симптомы
Легионеллезную пневмонию еще называют болезнью легионеров, поскольку именно она стала причиной большой смертности военнослужащих в Америке в 70-х годах. Тогда не была известна данная болезнь. Передается она воздушно-капельным способом, а также через воду, аэрозоли, капельки воды из водоемов или жидкости, которую пил больной.
Инкубационный период после попадания вируса в организм составляет 4-10 дней. Первыми симптомами являются:
- Потеря аппетита.
- Болезненный сухой кашель.
- Головная боль.
- Усталость.
Со временем симптоматика развивается и проявляется в высокой температуре, которая приводит к судорогам, болям в животе и рвоте. Развиваются артралгия и миалгия. Если болезнь не лечится, тогда появляется мокрота со сгустками крови и боль в области пораженного легкого. Также формируется плеврит. Если человек не лечится, тогда развивается инфекционный шок, приводящий к почечной недостаточности, а она в свою очередь провоцирует смерть.
Сначала нужно выявить возбудитель, что делается путем проведения анализа крови и мокроты, ИФА, промывания бронхо-легочного дерева. Затем назначаются специальные антибиотики. Если лечение было проведено с ранних этапов развития, тогда за 2 недели больной выздоравливает.
Хламидийная пневмония – симптомы
Хламидия относится к скрытым вирусам, которые поначалу могут вообще себя не проявлять. Вот почему невозможно точно сказать, сколько длится инкубационный период. Известно, что микроорганизм передается воздушно-капельным и контактно-бытовым путями. Может начинаться как синусит, фарингит или бронхит, соответственно, первыми симптомами будут:
- Першение в горле.
- Озноб.
- Высокая температура.
- Общая интоксикация.
Однако если у больного начинается сухой приступообразный кашель с отхождением гнойной или слизистой мокроты, то срочно нужно обратиться к врачу. Он сделает рентгеновский снимок, проведет анализы мокроты и крови, что позволит выявить возбудитель. У грудничка может быть обнаружен данный вирус, если во внутриутробный период у матери в крови находился раздражитель.
Классификация патологии и ее проявления
Нетипичная пневмония имеет несколько форм с учетом вида возбудителя:
- хламидийная;
- микоплазменная;
- острый респираторный синдром;
- болезнь легионеров;
- ку-лихорадка.
Признаки микоплазменной пневмонии
Возбудителем легочной инфекции является Мycoplasma pneumoniae.
Микоплазменная форма заболевания имеет стертую симптоматику и вялое течение по сравнению с другими видами воспаления легких.
При сниженном иммунитете патология протекает тяжело. Инкубационный период длится от 1 недели до месяца. Поражаются верхние дыхательные пути.
Микоплазменная пневмония протекает в виде ларингита, катарального назофарингита, острого трахеобронхита. Отмечаются следующие симптомы:
- непродуктивный пароксизмальный (приступообразный) кашель;
- заложенность носа;
- першение в горле;
- сухость носоглотки;
- осиплость голоса;
- субфебрильная температура;
- потливость;
- слабость;
- высыпания на коже;
- мышечная боль;
- воспаленные челюстные лимфоузлы.
Симптомы нетипичной хламидийной пневмонии
Патология вызвана внутриклеточными бактериями рода Chlamydia и Chlamydophila. Инкубационный период хламидийной пневмонии длится до трех недель. Заболевание имеет нетяжелое, но затяжное течение. Первые признаки болезни могут проявиться через 10–14 дней после инфицирования. Это:
- надрывистый кашель;
- синусит;
- гиперемия горла;
- температура тела до 39 °C;
- высыпания на коже;
- конъюнктивит;
- хрипы в легких;
- невралгия.
Болезнь легионеров
Возбудитель заболевания – L. Pneumophila, относящийся к роду Legionella. Инкубационный период легионеллеза короткий – 2–10 суток.
Статья в тему: Гиперальдостеронизм – симптомы заболевания
Воспалительный процесс нарастает стремительно и сопровождается тяжелыми симптомами при развитии.
Интоксикация проявляется в первые двое суток с момента инфицирования. Симптомы болезни легионеров:
- высокая температура тела (до 40 °C);
- озноб;
- сильные головные боли;
- ухудшение аппетита;
- диарея;
- интенсивная мышечная боль;
- потливость;
- заторможенность;
- обмороки;
- галлюцинации;
- бредовые состояния.
Тяжелый острый респираторный синдром
Такой вид болезни вызывается коронавирусом из семейства Coronaviridae. Это один из возбудителей летальных пневмоний. Инкубационный период – 2–10 суток. Тяжелый острый респираторный синдром (ТОРС-инфекция) проявляется инфекционно-токсическими и респираторными признаками:
- высокая температура тела (до 39 °C);
- головная боль;
- выраженная слабость;
- интенсивный сухой кашель;
- насморк;
- першение в горле;
- нарушение сердечного ритма;
- одышка;
- гипоксемия.
Вирусная атипичная пневмония
Коронавирус провоцирует вирусную атипичную пневмонию, или, как ее теперь называют, острый респираторный синдром (SARS). Наблюдается данное заболевание у лиц от 30 до 70 лет. Передается воздушно-капельным способом. Инкубационный период составляет 2-10 дней. Симптомами являются:
- Высокая температура.
- Мышечные и головные боли.
- Лихорадка.
- Слабость.
- Сильное потоотделение.
- Нарушение стула.
- Потеря аппетита.
- Рвота и тошнота.
- Кашель.
- Боль и тяжесть в груди.
- Одышка.
- Тахикардия.
- Понижение кровяного давления.
- Необходимость искусственной вентиляции легких в некоторых случаях.
Лечение проводится путем приема антимикробных медикаментов и противовирусных лекарств.
Симптомы ТОРС
При данном варианте атипичной пневмонии наблюдается острое начало, сопровождающееся головными и мышечными болями, ознобом, общей слабостью, головокружением. Температура повышается до 38 градусов и более. Лихорадочная фаза длится в течение 3-7 суток.
В основном выздоровление наступает через одну-две недели. Однако у некоторых пациентов чрез неделю возникает острый респираторный дистресс-синдром. При этом имеют место диспноэ, гипоксемия. Реже наблюдается ОРДС. Летальный исход становится следствием прогрессирования дыхательной недостаточности.
Атипичная пневмония: симптомы и лечение у взрослых и детей
В нашей публикации вы узнаете что такое атипичная пневмония. Симптомы у взрослых и признаки у детей возникают по-разному, поэтому и лечение атипичных возбудителей протекает по-иному.
Атипичная пневмония – воспаление легочной ткани, вызванное «атипичными» микроорганизмами (классическая форма заболевания вызвана обычными возбудителями, такие как пневмококки или стафилококки).
Признаки атипичной пневмонии в целом схожи с признаками других видов воспаления легких. Заболевание чаще диагностируется у детей и подростков, в связи с этим показатель смертности у детей значительно выше, чем у взрослых.
Врач ставит диагноз у взрослых и у детей на основании следующих анализов:
- общий анализ крови;
- анализ крови на наличие специфических антигенов;
- клинический анализ крови;
- посев мокроты;
- мазок зева;
- посев крови на выявление вида возбудителя;
- рентгенограмма;
- пульсоксиметрия.
Профилактика
Единственного способа избежать атипичной пневмонии еще не знает никто. Хотелось бы раз и навсегда решить эту проблему, поэтому ученые работают над тем, как найти вакцину против такого заболевания. Но зато есть набор профилактических мер для этого:
- прием противовирусный препаратов для профилактики;
- сбалансированное питание;
- прием витаминных комплексов;
- необходимо избегать места скопления людей во время эпидемий;
- нужно носить защитную маску при общении с больными или марлевую повязку;
- частое мытье рук с мылом, особенно после улицы;
- необходимо обрабатывать транспорт, приехавший из зоны эпидемии;
- нужно знать о болезни и вовремя обращаться к врачу;
- вирусная пневмония требует безотлагательной госпитализации, чтобы обезопасить окружающих.
Помните, что предупредить болезнь всегда лучше и легче, чем лечить и при этом испытывать дискомфорт. Занимайтесь спортом, ведите активный образ жизни. Главное условие, при котором болезнь не подступится — это хороший иммунитет, то есть сильный и крепкий организм не поддастся вирусу или бактерии. Для того чтобы бороться с вредителями, тренируйтесь, закаляйтесь, чаще бывайте на свежем воздухе, старайтесь избегать большого скопления народа. Посещайте только те страны, где нет опасности для вашего здоровья и эпидемий.
Главное, не запускать болезнь, не надеяться, что все само пройдет, а вовремя обращаться к специалисту за советом и консультацией. Как видим, грипп или обычное острое респираторное вирусное заболевание может перерасти в атипичную пневмонию.
Надеемся, что наша статья заставит вас задуматься о своем здоровье и долголетии, что она поможет вам дельным советом и разносторонним освещением вопроса диагностики и лечения атипичной пневмонии. Желаем вам здоровья и хорошего настроения!
Автор публикации: Ирина Ананченко
Помните! Самолечение может вызвать неисправимые последствия для Вашего здоровья! При первых симптомах заболевания мы рекомендуем незамедлительно обратиться к специалисту!
Атипичные возбудители пневмонии
В целях постановки точного диагноза и назначения эффективного лечения важно определить, какой возбудитель спровоцировал воспалительный процесс легких.
Первые симптомы могут возникнуть на 3-10 день после контакта с носителем, что подразумевает стремительное распространение бактерий, вирусов или грибков в очаге.
Рассмотрим самые распространенные атипичные возбудители пневмонии:
- вирусные бактерии;
- микоплазменная инфекция;
- хламидийная инфекция;
- легионелла;
- коксиелла;
- коронавирус (SARS).
К несчастью, могут появиться новые вирусы, нередко уже известные штаммы мутируют под воздействием внешних факторов, в результате чего мы сталкиваемся с принципиально новой формой.
К примеру, подтип уже известного ранее вируса H1N1, более известный как «свиной грипп», унес около 5000 жизней по всему миру.
Диагностика
Атипичные пневмонии диагностируются на основании осмотра, опроса и дополнительных способов исследования. Для точной постановки диагноза используют следующие методы:
- иммунологические;
- общий анализ крови;
- посев мокроты и смывов со слизистой глотки;
- определение чувствительности возбудителя к антибиотикам;
- рентген легких;
- определение содержания в крови кислорода.
Как правило, изменения в легких становятся заметны на рентгеновском снимке еще до появления первых недомоганий. Отличительной чертой таких пневмоний является отсутствие реакции на лечение пенициллинами и цефалоспоринами.
Атипичная пневмония: симптомы у детей
Воспаление легких очень опасное заболевание, особенно для детей младше 5 лет. Данные ВОЗ констатируют неутешительные факты о высокой смертности в детском возрасте.
Симптомы у детей проявляются на 3-5 день заражения, признаки могут быть ярко выраженными или скрытыми, что напрямую зависит от того, о какой атипичной форме идет речь.
- высокая температура;
- озноб;
- кашель;
- мигрень;
- лихорадка;
- болевые ощущения в мышцах;
- слабость;
- отсутствие аппетита;
- одышка.
При заражении легионеллой, допускается диарея или нарушение сознания. Если возбудителем является микоплазма, то нередко встречается небольшая сыпь на коже. Насморк характерен для вирусной пневмонии.
Основные симптомы
Атипичную пневмонию можно заподозрить по ряду характерных симптомов, к которым относятся:
- высокая температура, которая сопровождается ознобом и лихорадкой;
- головная и суставная боль;
- сухой кашель, сопровождаемый одышкой;
- ухудшение аппетита;
- учащение дыхания;
- сильная утомляемость и разбитость;
- кожная сыпь, если болезнь спровоцирована микоплазмой;
- ринит, при заболевании вирусного характера;
- спутанность сознания, в том случае, сли недуг вызван легионеллой;
- расстройства стула, при заражении легионеллой.
Атипичная пневмония бывает без температуры. Но все другие симптомы болезни в этом случае сохранены. Такое течение характерно для людей со слишком ослабленным иммунитетом.
При появлении первых признаков болезни нужно сразу обращаться к врачу. При рано начатом лечении прогноз намного благоприятнее.
Признаки и симптомы у взрослых
Симптомы атипичной пневмонии у взрослых схожи с симптомами, которые встречаются и у детей.
При тяжелой форме симптомы у взрослых могут быть следующими:
- кровотечение из носа;
- выраженные признаки интоксикации организма;
- шейная лимфоденопатия;
- повышение температуры до 40 градусов;
- в 20% допускается кровохарканье при сильном кашле;
- тошнота;
- рвота;
- сильные мышечные боли.
Далее читайте как средство для потенции Эроктив помогает побороть импотенцию.
Данные симптомы относятся исключительно к запущенной форме заболевания, требуют не только срочного обращения в медицинское учреждение, но и госпитализацию больного.
Прогрессирующая стадия зачастую подразумевает перевод пациента на ИВЛ. Лечение подобных форм требует от 2 недель до 1 месяца, нередко наступают необратимые последствия в структуре легкого.















